Κυριακή 10 Φεβρουαρίου 2013

το ΚΑΚΟ κρύβεται στον ΑΝΘΡΩΠΙΝΟ ΕΓΚΕΦΑΛΟ

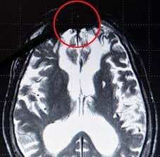
Ο Γερμανός νευρολόγος δρ Gerhard Roth, καθηγητής του Πανεπιστημίου της Βρέμης, υποστηρίζει  ότι μία σκοτεινή μάζα που βρίσκεται στο κέντρο  του εγκεφάλου αποτελεί δείκτη βίαιης συμπεριφοράς.
Για την έρευνα του Roth, εξετάστηκαν βιαστές, δολοφόνοι και γενικά άτομα με βίαιη συμπεριφορά
Η σκοτεινή μάζα βρέθηκε σε όλες τις απεικονιστικές εξετάσεις του εγκεφάλου ατόμων με εγκληματική προσωπικότητα.  Διαπιστώθηκε μάλιστα, πως δεν παρουσίασαν δραστηριότητα στις περιοχές του εγκεφάλου που συνδέονται με συναισθήματα λύπης και συμπόνιας,

O Terre Constantine, διευθυντής του Brain Research Foundation και πρώην διευθυντής του Jack Miller Center for Peripheral Neuropathy εκφράζει σκεπτικισμό για το πόρισμα της μελέτης αλλά συμφωνεί πως όγκοι στον εγκέφαλο και ανωμαλίες όπως ατροφία σε τμήμα του εγκεφάλου που προκαλείται από κάποια ασθένεια, επηρεάζουν τη συμπεριφορά, την προσωπικότητα και τον τρόπο που επικοινωνούμε.

 7-2-13   What evil lurks in the brain?
German neurologist says he's found a 'dark patch'
BioEdge, a blog dedicated to bioethics news, translated Roth's German into English: “This is definitely the region of the brain where evil is formed and where it lurks.” πηγή http://www.dailymail.co.uk/sciencetech/article-2273857/Neurologist-discovers-dark-patch-inside-brains-killers-rapists.html
 

Δεν υπάρχουν σχόλια: